Go to AAD Home
Donate For Public and Patients Store Search

Go to AAD Home
Welcome!
Advertisement
Advertisement

Darier disease is rough clinically and therapeutically. MEK inhibition may offer a smoother future


DII small banner

By Warren R. Heymann, MD, FAAD
Dec. 4, 2024
Vol. 6, No. 48

Headshot for Dr. Warren R. Heymann
Consultative medical dermatology is stressful because challenging patients come with high hopes. Usually, the referring dermatologist is thorough, thoughtful, and on-target diagnostically and therapeutically. The key is setting expectations — if the dermatosis is easily manageable, they would not be referred. Patients want answers and guarantees. I understand that. My only promise is that I will do my best to help them.

The impetus for writing this commentary is preparation for a patient with recalcitrant Darier disease (DD) referred to me for a second opinion by an outstanding dermatologist. Is there anything new that I could offer? Fortunately, I learned of this patient en route to the 2024 annual meeting of the American Society of Dermatopathology, where I listened to a stellar lecture by Emily Chu, MD, PhD, FAAD, who discussed pertinent new findings in DD that could have therapeutic impact.

DD is an autosomal dominant genodermatosis caused by a mutation in the ATP2A2 gene. According to Schmeider et al., “This gene encodes a calcium pump in the endoplasmic reticulum called sarcoendoplasmic reticulum calcium ATPase (SERCA2). This pump transports calcium from the cytosol to the inside of the endoplasmic reticulum, maintaining a high calcium concentration in the endoplasmic reticulum, where it is needed to process junctional proteins such as desmoplakins and desmogleins. Impaired SERCA2 function leads to aberrant junctional protein processing and poor cohesion between keratinocytes. This impairment is believed to cause acantholysis, or loss of connection between keratinocytes, as seen in pathology. In addition to aberrant junctional protein processing, a decrease in calcium stores in the endoplasmic reticulum activates a cellular stress response.” (1)

The prevalence of DD is estimated to be between one in 30,000 and one in 100,000. The disorder usually manifests in the first or second decade, presenting with variable expressivity as hyperkeratotic, greasy papules in a seborrheic distribution. Lesions may become verrucous, fissured, and secondarily infected. Nail changes include V-nicking and erythronychia. The oral mucosa is involved in 50% of patients. Blepharitis and dry eyes may be observed. Some patients may display neurologic abnormalities (intellectual impairment, seizures, and depression). Segmental DD is due to mosaicism. Histologically, DD is characterized by focal acantholytic dyskeratosis (suprabasal clefts, corps ronds and grains). (1,2)

Image for DWII of Darier disease
Image from reference 3.
The cornerstone of DD treatment is to avoid aggravating triggers such as sunlight, heat, occlusive clothing, and friction. (1) In their systematic review of therapeutic options for DD, Hanna et al. did not find Grade A evidence (randomized control trials with consistent results) for DD treatment. The authors identified Grade B evidence (lower quality clinical trials) for the following treatments of DD: oral acitretin, oral isotretinoin, systemic vitamin A, topical tretinoin, topical isotretinoin, topical adapalene gel, topical 5-flououracil, topical calcipotriol and tacalcitol (with sunscreen), Grenz ray radiation, and X-ray radiation. All other options were classified as Grade C evidence (consensus statements, case reports, or case series). For example, there is only a solitary report utilizing dupilumab in DD (as of Nov. 16, 2024). (3) “Considering the quality and quantity of evidence, clinicians may consider initiating a trial of select topical or oral retinoids first in patients with localized or generalized DD, respectively.” (2)

Zaver et al. created a human tissue model of DD to elucidate its pathogenesis and identify potential therapies. Using CRISPR/Cas9, the authors generated human keratinocytes lacking SERCA2, which replicated features of DD and performed RNA sequencing and proteomics analysis. The SERCA2-deficient keratinocytes lacked desmosomal and cytoskeletal proteins required for epidermal integrity and exhibited excess MAPK signaling, which modulates keratinocyte adhesion and differentiation. Immunostaining patient biopsies substantiated these findings, with lesions showing keratin deficiency, cadherin mislocalization, and ERK hyperphosphorylation. Dampening ERK activity with MEK inhibitors rescued adhesive protein expression and restored keratinocyte sheet integrity despite SERCA2 depletion or chemical inhibition. These findings identified MEK inhibition as a treatment strategy for Darier disease. (4)

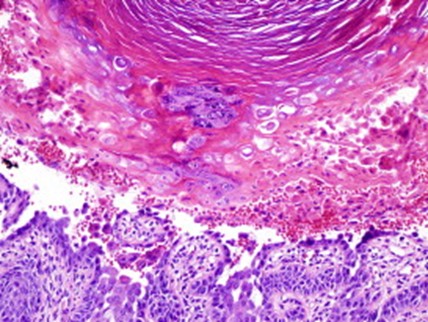
Histologic image of Darier disease for DWII
Image from JAAD 2008 (2 Suppl 1): S50-1.
Grover disease also displays focal acantholytic dyskeratosis. Simpson et al. (with Dr. Chu as a co-author) demonstrated ERK hyperactivation in patient biopsies from vemurafenib-induced Grover disease and spontaneous Grover disease, revealing a common etiology for both. The authors found that MEK inhibition suppressed ERK and rescued the cohesion of B-RAF-inhibited keratinocytes, suggesting the concept of MEK inhibition as a therapeutic strategy. (5)

Trametinib is an inhibitor of MEK 1 and 2, which are downstream regulators in the MAPK signaling pathway. The oral formulation was approved in 2013 by the FDA for the systemic treatment of melanomas with certain BRAF mutations. Oral trametinib is associated with adverse effects such as diarrhea, peripheral edema, fatigue, dermatitis, acne, and rarely retinopathy and cardiomyopathy. (6) Topical trametinib (dosed from 1-3%) was well-tolerated in reports demonstrating stabilization of a plexiform neurofibroma in an 11-year-old girl (7), and improvement of a nevus sebaceous in a 20-month-old girl with the Schimmelpenning-Feurerstein-Mims syndrome. (5) In a phase I study of topical trametinib cream for rosacea (0.05 mg in 0.5 ml), no systemic absorption was detected, nor were any adverse effects observed. (8)

Could topical trametinib be valuable in treating DD or Grover disease? A clinical trial is in order. While it is exciting to think about how CRISPR/Cas9 technology created the human model to study DD, it is scintillating to ponder how CRISPR/Cas9 can cure it.

Point to Remember: MEK inhibition may be a new therapeutic pathway to treat disorders demonstrating focal acantholytic dyskeratosis, including Darier disease and Grover disease.

Our experts’ viewpoints

Cory L. Simpson, MD, PhD, FAAD
Assistant Professor of Dermatology
University of Washington

As a dermatologist specializing in blistering diseases, it has been exciting to see landmark studies of rituximab totally change the treatment of pemphigus and I am eagerly awaiting results of the dupilumab trial for bullous pemphigoid. But while molecular therapies are revolutionizing our approach to autoimmune bullous diseases, similar advances have been lacking for inherited blistering disorders. This fuels my lab’s goal to build new models of genetic dermatologic diseases to better understand their pathogenic mechanisms so we can design rational therapies rather than just throwing the biologic therapy du jour at the disease with our fingers crossed.

When a patient with Darier disease (DD) comes to my office, I can explain in detail how their pathology arises from mutation of a calcium pump (SERCA2). But as a physician-scientist, I am frustrated to admit to them that there are no FDA-approved therapies for DD despite discovery of its genetic cause more than 25 years ago. (9) Once a disease-linked gene is identified, the typical next step is to make a knockout mouse. Unfortunately, mice lacking SERCA2 do not get Darier disease, which undermined pre-clinical studies. In our recent work (4), my lab used gene editing in human keratinocytes to make SERCA2-deficient organotypic epidermis as a 3D tissue model of DD. Leveraging transcriptomics, we unexpectedly found these had a signature of excess signaling via epidermal growth factor receptor (EGFR), which activates a kinase cascade (MEK and ERK) that can be readily targeted. While finding a druggable target in vitro was promising, we confirmed this pathway was over-activated in DD biopsies. Excitingly, we also found that MEK inhibitors (including trametinib, FDA-approved for melanoma) made SERCA2-deficient keratinocytes stick together more strongly, which suggested they could have clinical utility in DD.

Building on this work, we next turned to Grover disease. It had always puzzled me why the pathologic features of Grover disease, which is not an inherited disorder, were identical to DD. As a dermatology resident at the University of Pennsylvania, I learned from my mentor Dr. John Stanley that if the pathology of two diseases looks identical, it stands to reason that they share a pathogenic mechanism. This was certainly the case in his landmark study with Dr. Masa Amagai showing that bullous impetigo and pemphigus foliaceus both compromise the adhesive function of desmoglein 1. (10) I had also been intrigued by Dr. Emily Chu’s work showing B-RAF inhibitors frequently induced Grover disease, a curiously specific side effect. (11) Interestingly, it was known that chronic B-RAF suppression can cause paradoxical downstream activation of MEK. To us, this perfectly explained why DD and Grover disease share pathologic features if both were driven by MEK. To our delight, we found ERK over-activation in biopsies of vemurafenib-induced Grover disease, but also in idiopathic Grover disease (5), again pointing to MEK inhibitors as a potential therapy. This was further supported by later clinical trials for melanoma in which adding MEK inhibitors eliminated Grover disease as a side effect of B-RAF inhibitors.

While results of lab-based studies do not always translate to the clinic, I am optimistic that targeting MEK could be a potential game-changer for DD and Grover disease. Fortunately, the pathology of both disorders is localized to the epidermis, which supports the feasibility of topical delivery of MEK inhibitors to enhance keratinocyte cohesion and potentially halt blistering while minimizing systemic side effects. I sincerely hope our work will finally move the needle for my patients who have had it rough for far too long.

Disclosure: The University of Washington has filed a U.S. patent (18/596,363) for the use of MEK inhibitors for blistering diseases with Dr. Simpson listed as an inventor.

Emily Y. Chu, MD, PhD, FAAD
Associate Professor of Dermatology & Pathology and Laboratory Medicine
Director, Dermatopathology Fellowship Program
University of Pennsylvania

Studying novel cutaneous adverse reactions to targeted therapies is immensely gratifying for diagnosticians, since the skin reactions are often directly related to the mechanism of action of the medication and on-target. Many of us have long thought that these targeted therapy reactions could provide considerable insight into idiopathic (non-medication related) skin disease, and this concept is exemplified beautifully by Dr. Simpson’s work on DD and Grover disease. That targeted MEK inhibitors could be used to treat DD and Grover disease means that in this case personalized medicine is coming full circle indeed!

  1. Schmieder SJ, Sathe NC, Rosario-Collazo JA. Darier Disease. 2023 Nov 30. In: StatPearls [Internet]. Treasure Island (FL): StatPearls Publishing; 2024 Jan–. PMID: 30137841.

  2. Hanna N, Lam M, Fleming P, Lynde CW. Therapeutic Options for the Treatment of Darier's Disease: A Comprehensive Review of the Literature. J Cutan Med Surg. 2022 May-Jun;26(3):280-290. doi: 10.1177/12034754211058405. Epub 2021 Nov 28. PMID: 34841914; PMCID: PMC9125141.

  3. Holt S, Saju S, Miller R. A case of Darier disease with perioral cutaneous cobblestoning treated with dupilumab. JAAD Case Rep. 2024 May 9;49:68-70. doi: 10.1016/j.jdcr.2024.04.038. PMID: 38883178; PMCID: PMC11179533.

  4. Zaver SA, Sarkar MK, Egolf S, Zou J, Tiwaa A, Capell BC, Gudjonsson JE, Simpson CL. Targeting SERCA2 in organotypic epidermis reveals MEK inhibition as a therapeutic strategy for Darier disease. JCI Insight. 2023 Sep 22;8(18):e170739. doi: 10.1172/jci.insight.170739. PMID: 37561594; PMCID: PMC10561730.

  5. Simpson CL, Tiwaa A, Zaver SA, Johnson CJ, Chu EY, Harms PW, Gudjonsson JE. ERK hyperactivation in epidermal keratinocytes impairs intercellular adhesion and drives Grover disease pathology. JCI Insight. 2024 Nov 8;9(21):e182983. doi: 10.1172/jci.insight.182983. PMID: 39325541.

  6. Haller CN, Leszczynska MA, Brichta L, Maier E, Riddington IM, Choate KA, Levy ML. Topical trametinib for epidermal and sebaceous nevi in a child with Schimmelpenning-Feuerstein-Mims syndrome. Pediatr Dermatol. 2024 May-Jun;41(3):523-525. doi: 10.1111/pde.15523. Epub 2024 Jan 25. PMID: 38273779; PMCID: PMC11096062.

  7. Melnikov L, Brichta L, Schloemer NJ. Successful utilization of topical trametinib for neurofibromatosis type I-associated plexiform neurofibroma. Pediatr Dermatol. 2024 Sep 3. doi: 10.1111/pde.15710. Epub ahead of print. PMID: 39225256.

  8. Wladis EJ, Busingye J, Saavedra LK, Murdico A, Adam AP. Safety and tolerability of topical trametinib in rosacea: Results from a phase I clinical trial. Skin Health Dis. 2024 Jan 31;4(2):e346. doi: 10.1002/ski2.346. PMID: 38577058; PMCID: PMC10988662.

  9. Sakuntabhai A, Ruiz-Perez V, Carter S, Jacobsen N, Burge S, Monk S, Smith M, Munro CS, O'Donovan M, Craddock N, Kucherlapati R, Rees JL, Owen M, Lathrop GM, Monaco AP, Strachan T, Hovnanian A. Mutations in ATP2A2, encoding a Ca2+ pump, cause Darier disease. Nat Genet. 1999 Mar;21(3):271-7. doi: 10.1038/6784. PMID: 10080178.

  10. Amagai M, Matsuyoshi N, Wang ZH, Andl C, Stanley JR. Toxin in bullous impetigo and staphylococcal scalded-skin syndrome targets desmoglein 1. Nat Med. 2000 Nov;6(11):1275-7. doi: 10.1038/81385. PMID: 11062541.

  11. Chu EY, Wanat KA, Miller CJ, Amaravadi RK, Fecher LA, Brose MS, McGettigan S, Giles LR, Schuchter LM, Seykora JT, Rosenbach M. Diverse cutaneous side effects associated with BRAF inhibitor therapy: a clinicopathologic study. J Am Acad Dermatol. 2012 Dec;67(6):1265-72. PMID: 22609219.



All content found on Dermatology World Insights and Inquiries, including: text, images, video, audio, or other formats, were created for informational purposes only. The content represents the opinions of the authors and should not be interpreted as the official AAD position on any topic addressed. It is not intended to be a substitute for professional medical advice, diagnosis, or treatment.

DW Insights and Inquiries archive

Explore hundreds of Dermatology World Insights and Inquiries articles by clinical area, specific condition, or medical journal source.

Access archive

Advertisement

The American Academy of Dermatology is a non-profit professional organization and does not endorse companies or products. Advertising helps support our mission.

Opportunities

Advertising | Sponsorship

Advertisement
Advertisement
Advertisement