Go to AAD Home
Donate For Public and Patients Store Search

Go to AAD Home
Welcome!
Advertisement
Advertisement

Taking a hard look at eosinophilic fasciitis on its golden anniversary


DII small banner

By Warren R. Heymann, MD, FAAD
Aug. 14, 2024
Vol. 6, No. 33

Headshot for Dr. Warren R. Heymann
In 1974, Dr. Lawrence E. Shulman identified two male patients (aged 53 and 19 years old) with a scleroderma-like illness that he subsequently published as “Diffuse fasciitis with hyperglobulinemia and eosinophilia: A new syndrome?” Both had a peripheral eosinophilia and biopsies demonstrated thickening of the fascia between the subcutis and muscle. “The pathogenesis of this diffuse fasciitis is obscure, although unusual physical exertion antedated the onset of the illness in each case.” (1)

Now known as eosinophilic fasciitis (EF), or by the eponym Shulman syndrome, although much has been learned about the clinical manifestations, pathogenesis, and management of EF during the past half century, Dr. Shulman’s adjective “obscure” in comprehending EF is still apt.

DWI&I reviewed EF in 2017, and the reader is encouraged to review that manuscript for an overview of the disorder. (2) This commentary will focus on some newer literature about different aspects of EF, in a question and answer format.

Are there any new clinical manifestations of EF?

Image of skin signs of eosinophilic fasciitis
Image from reference 15.
The clinical presentation of EF is well-established, characterized by erythema, edema, and induration of the extremities associated with joint contractures. The trunk and neck may be affected, with typical sparing of the face, hands, and feet. (3) The “groove sign” (linear depressions along the course of veins, caused by fascial sclerosis of the connective tissue surrounding superficial veins, rendering them immobile (4) and a “peau d’orange” appearance may be noted. Nail fold capillary changes, Raynaud phenomenon, and sclerodactyly, as appreciated in systemic sclerosis, are not observed. (3) Ivanof et al reported a 54-year-old woman with EF presenting as an ichthyosiform eruption of the bilateral ankles that gradually improved with prednisone, hydroxychloroquine, and methotrexate. (5)

Have any new triggers of EF been reported?

The most common potential triggers of EF include strenuous exercise, trauma, infections (Borrelia, Mycoplasma) and certain medications (statins, phenytoin, ramipril). Treichel et al reported a 19-year-old auto mechanic, whose EF was presumed to be due to exposure of organic solvents (the aromatic hydrocarbons benzene, trimethylbenzene, naphthalene, toluene, and xylene). (6) There is an emerging literature on immunotherapy-induced EF, notably with immune checkpoint inhibitors (ICI). (7) According to Benzaquen et al, “To date, 20 cases of ICI-induced EF, including our case, have been reported with anti-programmed cell-death-1 (PD-1) and anti-programmed death-ligand-1 (PDL-1) antibodies: seven with pembrolizumab, nine with nivolumab, one with avelumab, one with cemiplimab, and two with atezolizumab. The time to onset of symptoms ranged from a few weeks to 24 months after initiation of the ICI. In all cases but one, the ICI was discontinued.” ICI-induced EF appears to be associated with a good anti-tumor response, especially in advanced melanoma. (8)

How commonly are other autoimmune diseases associated with EF?

Many autoimmune diseases have been associated with EF (Hashimoto thyroiditis, Graves disease, primary biliary cirrhosis, lupus erythematosus, vasculitis, hemolytic anemia, idiopathic thrombocytopenic purpura, Sjögren syndrome). (2) In a systematic review of 489 studies with a total of 1703 patients (as this data base is referred to in subsequently mentioned studies, I will refer to this as the Wayne State Group – WSG), Wong et al identified 90 patients (5.3%, n = 90/1703) with reported autoimmune comorbidities. Among the specific autoimmune comorbidities reported, autoimmune thyroid disease (1.4%, n = 23/1703), Raynaud’s phenomenon (1.1%, n = 20/1703), and rheumatoid arthritis (0.6%, n = 10/1703) were the most common. (9)

How often is EF considered a paraneoplastic disease?

In their review, Joly-Chevrier et al note that EF is a paraneoplastic disorder in 10% of patients. Twenty-nine articles including 48 paraneoplastic EF patients were identified. Of these, 26/29 (89.7%) were case reports and 3/29 (10.3%) were observational studies. In most cases (37/48 or 77.1%), EF was confirmed by histopathology. EF was localized to the extremities in 70.0% of patients (21/30) and involved the entire body in 30.0% (9/30). A similar sex distribution was seen (16/31 or 51.6% females). Race was only reported in six cases (three were White and three were Asian). Cancer was diagnosed at a mean age of 63.0 years old. The mean time between EF and cancer diagnoses was 10 months. Hematological malignancies were seen in 62.5% of cases (30/48), followed by solid malignancies (16/48 or 33.3%); one patient developed both solid and hematological malignancies and one patient had non-melanoma skin cancer. (7) The WSG identified a total of 104 malignancies that were associated with EF (6.1%, n = 104/1703), of which 57 were non-hematological (54.5%, n = 57/104) and 47 were hematological (45.2%, n = 47/104). Patients with EF and malignancy were older, presenting at a mean age of 58.5 years. They skewed female (54.6%, n = 37/69) and had a shorter mean duration of symptoms before diagnosis at 6.1 months. (10) The precise relationship of EF with malignancy warrants further scrutiny, but EF onset at an older age warrants vigilance and at least a rudimentary screen for hematologic/lymphoproliferative disorders.

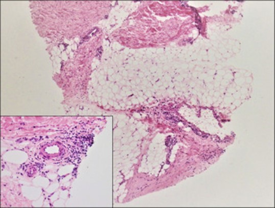
Is a fascial biopsy required to confirm the diagnosis of EF?

Image of biopsy of eosinophilic fasciitis
Image from reference 15.
A biopsy of the fascia has long been considered the gold standard for diagnosing EF. Histological findings include thickened, hyalinized fascial layers, with a lymphoplasmacytic infiltrate with or without eosinophils. (5) In the WSG, most patients (76.3%, 248/325) underwent MRI. Findings included thickening of superficial muscle fascia (40.7%, 101/248), thickening of deep muscle fascia (35.4%, 88/248), and edema (24.5%, 61/248). High-intensity signals were observed in the muscle fascia region for 76.6% (190/248) of patients. Twelve (4.8%, 12/248) had no abnormal findings. Fewer patients (16.3%, 53/325) underwent ultrasound. Findings included thickening of the skeletal muscle surrounding the region of induration (13.2%, 7/53), thickening of the superficial/deep fascia (24.5%, 13/53), and thickening of subcutaneous tissue (7.54%, 4/53). Seven (13.2%, 7/53) had no abnormalities and three (5.67% 3/53) had post-resolution imaging done at follow-up appointments. The authors recommend “that tissue biopsy, the gold standard, be performed in all suspected EF cases. MRI may be clinically useful as an adjunct to biopsy when biopsy is negative but a strong clinical suspicion for EF remains. Ultrasound should be used as a cost-effective method to assess posttreatment resolution of EF and long-term reemission.” (11) Shahriari et al evaluated 68 EF patients. Sixty percent (n = 41) of patients underwent a full-thickness wedge biopsy, 68% (n = 46) underwent MRI, and 34% (n = 23) underwent both wedge biopsy and MRI. In this cohort, wedge biopsy had a sensitivity of 95.1% in detecting fascial changes consistent with EF, while MRI had a sensitivity of 93.5% (P value = .99). This demonstrates that there was no statistically significant difference between these 2 modalities in diagnosing EF. The authors concluded: “Given these results and the potential complications from a wedge biopsy in a patient with cutaneous sclerosis, MRI may be considered as an appropriate modality to diagnose EF in lieu of a wedge biopsy.” (12) Current research employing high resolution ultrasonography and elastography have the potential to supplant more expensive imaging techniques. (13)

Have any new therapies been reported for EF?

The first step in managing EF is removing (or treating) any suspected triggering factor, if possible. Although EF may resolve spontaneously, corticosteroids are considered first-line therapy; combination treatment with other immunosuppressive agents (methotrexate, mycophenolate mofetil, etc.) may yield a higher complete response rate. Physical therapy is of value for those at risk of joint contractures. (2) There has been a flurry of reports with the successful use of anti-IL5 agents (mepolizumab, reslizumab) for refractory EF (14,15). Woodbury et al reported a 76-year-old man who paradoxically developed EF while taking benralizumab for eosinophilic asthma. He was treated successfully by switching him to mepolizumab and administering IVIG. (16) We are on the cusp of the JAK inhibitor era for EF, with initial reports of improvement in two EF patients using tofacitinib as adjunctive therapy. (17)

I first became aware of EF as a medical student shortly after Dr. Shulman described it. As I have studied this disease, and have taken care of several EF patients, until I wrote this commentary, my knowledge of Dr. Shulman was sketchy, at best. Dr. Shulman passed away shortly after his 90th birthday. If you have a moment, please read his obituary. Aside from his describing EF, he designed thermal protective clothing for soldiers in World War II, identified tryptophan as the culprit in the eosinophilia myalgia syndrome, and researched bone and muscle loss during space travel. He was the founding director of the National Institute of Arthritis and Musculoskeletal and Skin Diseases (NIAMS). Of his myriad accomplishments, including being honored by the American Academy of Dermatology, he was most proud to have received the Gold Medal from the American College of Rheumatology in 1996. Drs. Huhn and Lockshin conclude, “The world of rheumatology has lost a great man. We miss him, honor him, and continue to draw inspiration from him.” (18) On this, the golden anniversary of the recognition of EF, it is an honor to offer Dr. Shulman a posthumous thank you for his contributions to our discipline.

Point to Remember: Eosinophilic fasciitis (Shulman syndrome) remains a fascinating disorder half a century after its recognition. Newer literature links the disease to immune checkpoint inhibitors, increasingly recognizes the value of imaging in diagnosing and managing the disease, and suggests that IL-5 inhibition may have therapeutic value.

Our expert’s viewpoint

Steve Daveluy MD, FAAD
Associate Professor and Program Director, Wayne State Dermatology

Fortunately, it’s not often that we encounter a case of eosinophilic fasciitis since it can be a complicated and challenging diagnosis. When you do care for a patient with EF, it will certainly leave an impression. (Sorry, I couldn’t resist the dad joke.). As expertly reviewed in this DWI&I article, the disease described by the amazing Dr. Shulman hasn’t changed in clinical presentation over the years, but we need to be aware of emerging triggers and advances in diagnosis and management. As oncologic care is moving from cancer centers into the community, and immunotherapies are increasingly utilized due to benefits across the spectrum of malignancies, supportive oncodermatology is no longer reserved for dermatologists in specialized centers. Managing the cutaneous side effects of cancer treatments is now important for all dermatologists, and it’s important to remember that immunotherapy is another potential trigger of eosinophilic fasciitis. Immunomodulation is also presenting us with new treatment options for EF, particularly IL-5 inhibitors and, of course, JAK inhibitors. It’s exciting that new medications are granting us opportunities for more targeted therapies to halt disease progression and provide symptom relief with fewer risks of adverse effects. While the risks associated with skin biopsy are typically low, a sclerotic disorder presents a higher-than-average risk profile. The utility of imaging, with MRI demonstrating noninferiority to biopsy, in EF represents an advance in diagnosis and treatment monitoring. Ultrasonography also has proven benefit in EF and holds even greater potential as we refine the optimal device parameters for this rapid and accessible tool. While a patient with eosinophilic fasciitis would likely present with signs and symptoms very familiar to Dr. Shulman, I think he would be pleased with the advances we’re making in diagnosing and treating this “tough” disease.

  1. Shulman LE. Diffuse fasciitis with hyperglobulinemia and eosinophilia: A new syndrome? J Rheumatol 1984; 11 (5): 569-70.

  2. Heymann WR. The ultimate prognosis of eosinophilic fasciitis may not be groovy. Dermatology World Insights and Inquiries. September 18, 2017. https://staging.aad.org/dw/dw-insights-and-inquiries/medical-dermatology/the-ultimate-prognosis-of-eosinophilic-fasciitis-may-not-be-groovy

  3. Heymann WR. Eosinophilic Fasciitis: A Firm Warning. Skinmed. 2017 Apr 1;15(2):139-140. PMID: 28528611.

  4. Fruchter R, Mazori DR, Femia AN. Groove Sign of Eosinophilic Fasciitis. J Clin Rheumatol. 2017 Apr;23(3):169. doi: 10.1097/RHU.0000000000000524. PMID: 28277348.

  5. Ivanov NN, Garvin A, Mahon MJ, Stephenson S. Eosinophilic Fasciitis Presenting as an Ichthyosiform Eruption of the Bilateral Ankles. Case Rep Dermatol. 2023 Mar 3;15(1):45-50. doi: 10.1159/000529477. PMID: 36879682; PMCID: PMC9984939.

  6. Treichel AM, Zheng DX, Ranasinghe GC, Zeft AS, Bergfeld WF, Bayart CB. Eosinophilic fasciitis in a young male auto mechanic exposed to organic solvents. Reumatismo. 2023 Sep 18;75(3). doi: 10.4081/reumatismo.2023.1539. PMID: 37721352.

  7. Joly-Chevrier M, Gélinas A, Ghazal S, Moussa S, McCuaig CC, Piram M, Mereniuk A, Litvinov IV, Osman M, Pehr K, Netchiporouk E. Morphea, Eosinophilic Fasciitis and Cancer: A Scoping Review. Cancers (Basel). 2023 Sep 7;15(18):4450. doi: 10.3390/cancers15184450. PMID: 37760419; PMCID: PMC10526289.

  8. Benzaquen M, Christ L, Sutter N, Özdemir BC. Nivolumab-induced eosinophilic fasciitis: An unusual immune-related adverse event that needs to be recognized by practitioners. Ann Dermatol Venereol. 2023 Oct 9:S0151-9638(23)00070-4. doi: 10.1016/j.annder.2023.07.001. Epub ahead of print. PMID: 37821251.

  9. Wong N, Chohan S, Hanson J, Osto M, Mehregan D. Autoimmune comorbidities and antibody markers associated with eosinophilic fasciitis. JAAD Int. 2022 Nov 23;10:59-60. doi: 10.1016/j.jdin.2022.11.008. PMID: 36688098; PMCID: PMC9850172.

  10. Chohan S, Wong N, Hanson J, Osto M, Daveluy S. Eosinophilic fasciitis may present as a paraneoplastic syndrome of hematological malignancies-A systematic review. JAAD Int. 2023 Jan 30;11:85-87. doi: 10.1016/j.jdin.2023.01.011. PMID: 36941909; PMCID: PMC10023860.

  11. Chohan S, Wong N, Hanson J, Darwish M, Osto M, Daveluy S. Diagnostic imaging for eosinophilic fasciitis: A systematic review. JAAD Int. 2023 Jun 16;13:10-12. doi: 10.1016/j.jdin.2023.06.004. PMID: 37575513; PMCID: PMC10413342.

  12. Shahriari N, Mazori DR, Shahriari M, Taylor D, Shaw K, LaChance AH, Femia AN, Vleugels RA. Utility of magnetic resonance imaging in the diagnosis of eosinophilic fasciitis: A multicenter retrospective cohort study. J Am Acad Dermatol. 2023 Dec;89(6):1313-1315. doi: 10.1016/j.jaad.2023.08.063. Epub 2023 Sep 1. PMID: 37659455.

  13. Popova V, Botushanov A, Batalov Z, Karalilova R, Batalov A. High-resolution musculoskeletal ultrasonography and elastography for eosinophilic fasciitis diagnosis and follow-up: a case-based review. Rheumatol Int. 2023 Dec;43(12):2311-2318. doi: 10.1007/s00296-023-05401-7. Epub 2023 Sep 25. PMID: 37747563.

  14. Sanchez-Melendez SN, Shaw KS, Pan CX, Taylor DL, Shahriari N, Mazori DR, Vleugels RA. Mepolizumab for refractory eosinophilic fasciitis: a retrospective analysis from two tertiary care centres. Clin Exp Rheumatol. 2023 Aug;41(8):1721-1722. doi: 10.55563/clinexprheumatol/j7gexb. Epub 2023 May 25. PMID: 37246772.

  15. Mortezavi M, Barrett M, Edrissian M. Successful treatment of refractory eosinophilic fasciitis with reslizumab. JAAD Case Rep. 2020 Jul 31;6(9):951-953. doi: 10.1016/j.jdcr.2020.07.039. PMID: 32913886; PMCID: PMC7472801.

  16. Woodbury MJ, Gaffney RG, Merola JF. A case of paradoxical eosinophilic fasciitis in a patient on benralizumab. JAAD Case Rep. 2023 Aug 13;40:45-46. doi: 10.1016/j.jdcr.2023.08.003. PMID: 37701884; PMCID: PMC10493231.

  17. Kim SR, Charos A, Damsky W, Heald P, Girardi M, King BA. Treatment of generalized deep morphea and eosinophilic fasciitis with the Janus kinase inhibitor tofacitinib. JAAD Case Rep. 2018 Apr 30;4(5):443-445. doi: 10.1016/j.jdcr.2017.12.003. PMID: 29984277; PMCID: PMC6031588.

  18. Hahn BH, Lockshin MD. Lawrence E. Shulman, MD, PhD, 1919-2009. Arthritis & Rheumatism 2010; 62 (2): 311.



All content found on Dermatology World Insights and Inquiries, including: text, images, video, audio, or other formats, were created for informational purposes only. The content represents the opinions of the authors and should not be interpreted as the official AAD position on any topic addressed. It is not intended to be a substitute for professional medical advice, diagnosis, or treatment.

DW Insights and Inquiries archive

Explore hundreds of Dermatology World Insights and Inquiries articles by clinical area, specific condition, or medical journal source.

Access archive

Advertisement

The American Academy of Dermatology is a non-profit professional organization and does not endorse companies or products. Advertising helps support our mission.

Opportunities

Advertising | Sponsorship

Advertisement
Advertisement
Advertisement