Go to AAD Home
Donate For Public and Patients Store Search

Go to AAD Home
Welcome!
Advertisement
Advertisement

The malignant risk in circumscribed palmar or plantar hypokeratosis: Summoning Charles Dickens and Freddie Mercury


DII small banner

By Warren R. Heymann, MD, FAAD
May 14, 2025
Vol. 7, No. 19

Headshot for Dr. Warren R. Heymann
Smitten by the seminal article in 2002 by Pérez et al. describing circumscribed palmar or plantar hypokeratosis (CPPH), I have diagnosed the disorder several times, reassuring patients that this oddity is of no concern. More than 100 cases of CPPH have been reported since the initial report. Remarkably, the findings detailed in the initial case series have mostly remained true. The following is the initial abstract (1) interspersed with bracketed comments and references.

Background: Epidermal malformations of the skin include a group of heterogeneous developmental defects that result from errors in morphogenesis of the epidermis during intrauterine life. [Other than rare congenital cases (2,3), most cases are observed in middle-aged to elderly adults. Although the etiology of CPPH is unknown, most authorities do not classify the entity as an epidermal malformation.]

Objective: The purpose of this study was to report the clinical and histopathologic features of a distinctive epidermal malformation involving the skin of the palms or soles.

Photo for DWII of hypokeratosis on the foot
Image from reference 10.
Methods: Ten patients were included in this study. All of them showed the same clinical features that consisted of a solitary circumscribed and circular area of erythematous depressed skin on the palm or on the sole. [Occasionally, multiple lesions are observed. Lesions display a peripheral scale. Most lesions are asymptomatic, but may be accompanied by pruritus, burning, tenderness, or pain. (2)] Diagnosis was confirmed by histopathologic study.

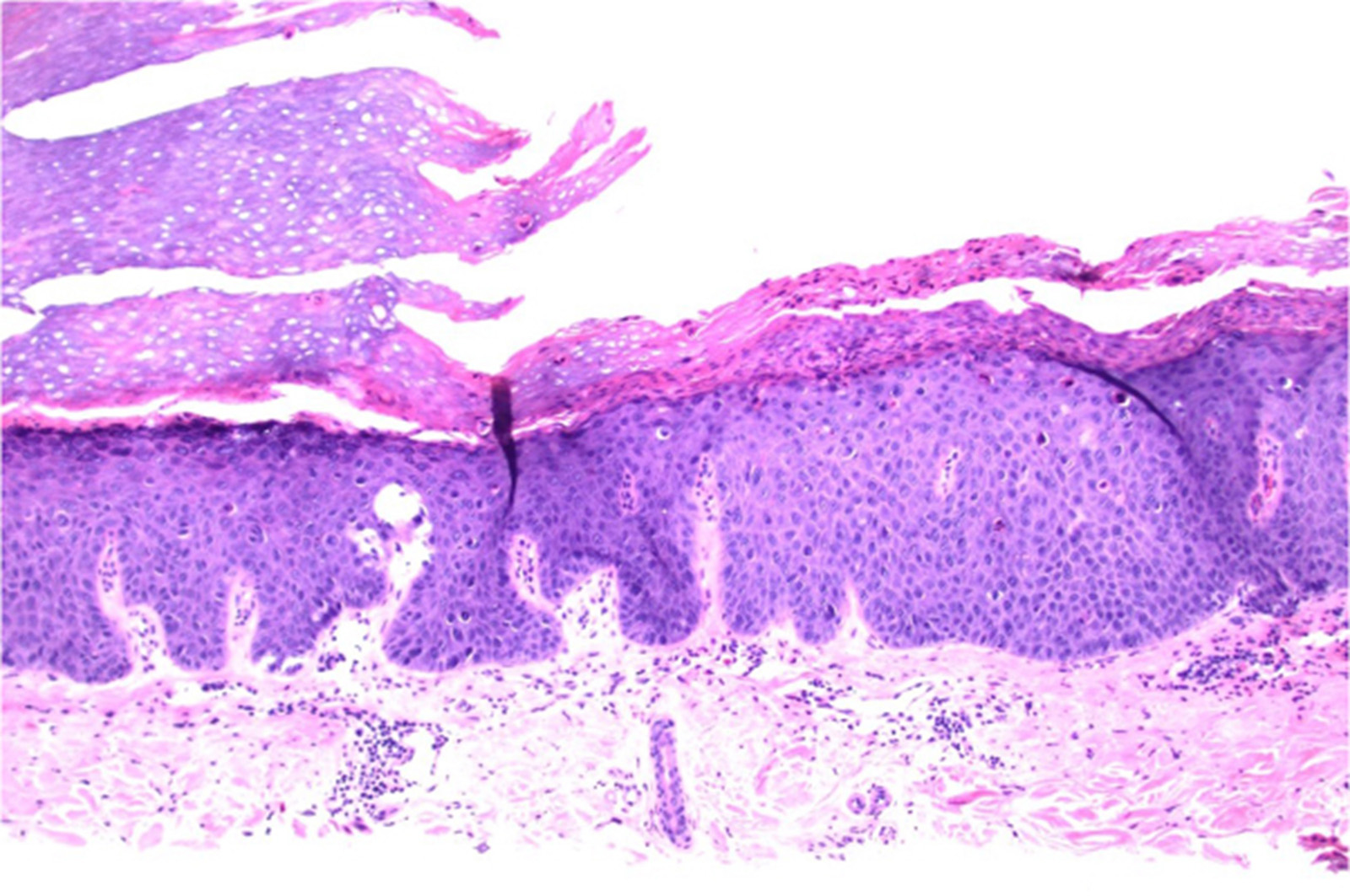
Results: All patients were middle aged or elderly. [Although pediatric cases are unusual, congenital cases have been reported (3,4)] Nine patients were women and one was a man. The lesions showed predilection for the skin of the thenar and hypothenar regions of the palm or the medial side of the sole.[Rarely, lesions have been reported on nonacral sites, such as the chest. (5)] Histopathologic study demonstrated a depression of the epidermis, with a sharp stair between normal and involved skin. The epidermis covering the depression showed markedly thinner horny layer and a slightly diminished granular cell layer when compared with adjacent noninvolved skin. Keratinocytes of the squamous cell layer, granular cells, and corneocytes showed, otherwise, a normal appearance. Serial sections failed to demonstrate cornoid lamellation.

Conclusion: On the basis of the clinical and histopathologic findings in these 10 patients, we have named this malformation circumscribed palmar or plantar hypokeratosis. This lesion seems to be a distinctive entity that has not been previously described.

Although the striking clinical appearance suggests the diagnosis, porokeratosis and squamous cell carcinoma in situ (SCCIS, Bowen disease) are diagnostic considerations, with the former displaying a cornoid lamella and the latter demonstrating keratinocytic atypia histologically. Other disorders in the differential diagnosis — psoriasis, eczema, tinea, granuloma annulare, and pitted keratolysis — are easily ruled out. (2)

The etiology of CPPH is enigmatic. In their series of four cases, Resnik and DiLeonardo discussed the role of minor, repetitive trauma such as gardening or writing. (6) Other unproven hypotheses include human papillomavirus induction and keratinization disturbances. (7) Using electron microscopy in an ultrastructural study of CPPH in a 64-year-old man, Kawai et al. demonstrated corneocyte intracytoplasmic splitting, while the corneodesmosome and cornified cell envelopes were normal. These findings, along with diminution of keratin 2e, suggest corneocyte fragility. (8) Other keratin studies have demonstrated increased expression of K6, decreased or normal K9, and normal, increased, or decreased K10. (2)

Image for DWII of microscopy of hypokeratosis
Image from reference 10.

Keratinocyte carcinoma associated with CPPH is a rare event, first recognized by Kanitakis et al., in their report of an 84-year-old woman who developed an actinic keratosis (AK) within her CPPH (9) Subsequent reports of AK and Bowen disease associated with CPPH followed. (7,10,11) Araya et al. detailed the case of a 76-year-old man with an invasive squamous cell carcinoma within a plaque of CPPH. (12) Theoretically, the diminished stratum corneum is not as efficient in reflecting, absorbing, and scattering photons, allowing CPPH lesions to have a greater carcinogenic risk. (11)

Aggressive treatment of CPPH is usually not necessary because most lesions are asymptomatic and benign. Variable success has been reported using topical 5-fluorouracil, calcipotriol, retinoids, keratolytics, photodynamic therapy, cryosurgery, and excision. (2,9) Definitive treatment with destructive modalities or surgery is warranted in rare cases associated with malignancy.

The overwhelming majority of patients can be reassured that CPPH is benign, although that is not guaranteed. When patients ask about its malignant potential, it is best to quote Charles Dickens (“Never say never”). Frankly, I was chagrined to learn that a lesion that I always considered benign could be malignant. I felt the same sense of betrayal when I first read about malignant onychopapillomas, leading me to think of Freddie Mercury (“Another one bites the dust”).

Point to Remember: There is a small risk for developing keratinocyte carcinomas in circumscribed palmar or plantar hypokeratosis. Patients require long-term monitoring.

Our expert’s viewpoint

Juan C. Tardío, MD, PhD
Department of Pathology
Hospital Universitario de Fuenlabrada
Madrid, Spain

Circumscribed palmar and plantar hypokeratosis and malignancy

Circumscribed palmar/plantar hypokeratosis (CPPH) is a localized disorder of the epidermal keratinization. Several causal mechanisms have been suggested, such as a congenital malformation, a repeated local trauma or an infection by human papillomavirus, but all of them lack a firm basis, so that CPPH remains as an entity of unknown etiology. Although considered a benign condition, from its first description in 2002, several cases with dysplastic changes or squamous carcinoma in situ arising within the hypokeratotic area of these lesions have been reported. We recently had the opportunity of studying a case of an invasive squamous cell carcinoma presented into a previously diagnosed circumscribed palmar hypokeratosis. Although we were aware that squamous intraepidermal neoplasms had been reported in this type of lesions, to the best of our knowledge, an invasive carcinoma was not described in association to CPPH. When the patient developed a verrucous lesion within the depressed area of his palm, our first diagnosis was an infective process and antibiotic treatment was instituted, without observing any improvement. The histopathological study of the resection specimen allowed us to arrive to the correct diagnosis.

The factors implicated in the malignant transformation of these lesions remain to be disclosed. The carcinogenic effect of the ultraviolet radiation on a hypokeratotic cutaneous area or the immunosuppression have been blamed, but in most these factors do not seem to be relevant. Some authors have suggested that CPPH represents a proliferation of atypical keratinocytes with malignant potential, an argument in contradiction with the small number of cases of this entity containing a neoplastic proliferation.

The exact frequency of a malignancy arising in CPPH is unknown, although, based on the cumulative experience since its original description, it should be low. Therefore, when a proliferative lesion develops within a plaque of CPPH, other options, such as an infection or a pseudocarcinomatous hyperplasia secondary to trauma, should be firstly ruled out. Nevertheless, clinicians should be aware that a risk of malignancy, albeit low, exists and an appropriate follow-up of these patients should be carried out.

  1. Pérez A, Rütten A, Gold R, Urbina F, Misad C, Izquierdo MJ, Requena C, Aliaga A, Kutzner H, Requena L. Circumscribed palmar or plantar hypokeratosis: a distinctive epidermal malformation of the palms or soles. J Am Acad Dermatol. 2002 Jul;47(1):21-7. doi: 10.1067/mjd.2002.120466. PMID: 12077576.

  2. Atak T, Gonul M, Magsudova L, Gökce A, Kartal SP. A Case of Circumscribed Palmar or Plantar Hypokeratosis and a Mini-review of the Literature. Am J Dermatopathol. 2023 Oct 1;45(10):694-696. doi: 10.1097/DAD.0000000000002477. Epub 2023 Jun 28. PMID: 37377216.

  3. Arbesman J, Loss LC, Helm KF, Rothman IL. A congenital case of circumscribed acral hypokeratosis. Pediatr Dermatol. 2012 Jul-Aug;29(4):485-7. doi: 10.1111/j.1525-1470.2011.01490.x. Epub 2011 Jun 22. PMID: 21692836.

  4. Bassi A, Oranges T, Massi D, Piccolo V, Mazzatenta C, Neri I. Congenital circumscribed plantar hypokeratosis. Int J Dermatol. 2020 Oct;59(10):e367-e369. doi: 10.1111/ijd.14967. Epub 2020 Jun 9. PMID: 32516442.

  5. Groysman T, Rothfleisch J, Baldassano MF. Circumscribed palmar or plantar hypokeratosis: first report on a nonacral site with unique histologic features. Am J Dermatopathol. 2013 Jun;35(4):491-3. doi: 10.1097/DAD.0b013e31827439c7. PMID: 23563249.

  6. Resnik KS, DiLeonardo M. Circumscribed palmar hypokeratosis: new observations. Am J Dermatopathol. 2006 Apr;28(2):112-6. doi: 10.1097/01.dad.0000193825.90552.4e. PMID: 16625071.

  7. Aukerman E, Rao M, Samiei A, Bell MC, Rahnama-Moghadam S. Circumscribed Palmar Hypokeratosis With Superimposed Actinic Keratosis. Cureus. 2023 Jan 30;15(1):e34401.

  8. Kawai T, Kabata Y, Shinkuma S, Oginezawa M, Hayashi R, Hayatsu M, Abe R. Intracytoplasmic abnormality of corneocytes in circumscribed palmar or plantar hypokeratosis: ultrastructural observations. J Eur Acad Dermatol Venereol. 2020 Nov;34(11):e709-e711. doi: 10.1111/jdv.16518. Epub 2020 Jun 1. PMID: 32314449.

  9. Kanitakis J, Lora V, Balme B, Roby J. Premalignant circumscribed palmar hypokeratosis: a new form of circumscribed palmar hypokeratosis? Case report and literature review. Dermatology. 2010;220(2):143-6. doi: 10.1159/000264607. Epub 2009 Dec 2. PMID: 19955702.

  10. Bibb LA, Rash JP, King R. Malignant circumscribed acral hypokeratosis. JAAD Case Rep. 2020 Feb 19;6(3):214-216. doi: 10.1016/j.jdcr.2020.01.006. PMID: 32149181; PMCID: PMC7033305.

  11. Torre-Castro J, Nájera L, Salgüero I, Requena L. Bowen Disease Within a Circumscribed Palmar Hypokeratosis. Am J Dermatopathol. 2022 Dec 1;44(12):961-963. doi: 10.1097/DAD.0000000000002293. Epub 2022 Sep 7. PMID: 36075575.

  12. Araya L, Horcajada C, Moreno A, Borbujo JM, Tardío JC. Invasive squamous cell carcinoma within a plaque of circumscribed palmar hypokeratosis. J Cutan Pathol. 2024 Jun 8. doi: 10.1111/cup.14670. Epub ahead of print. PMID: 38850220.



All content found on Dermatology World Insights and Inquiries, including: text, images, video, audio, or other formats, were created for informational purposes only. The content represents the opinions of the authors and should not be interpreted as the official AAD position on any topic addressed. It is not intended to be a substitute for professional medical advice, diagnosis, or treatment.

DW Insights and Inquiries archive

Explore hundreds of Dermatology World Insights and Inquiries articles by clinical area, specific condition, or medical journal source.

Access archive

Advertisement

The American Academy of Dermatology is a non-profit professional organization and does not endorse companies or products. Advertising helps support our mission.

Opportunities

Advertising | Sponsorship

Advertisement
Advertisement
Advertisement