Go to AAD Home
Donate For Public and Patients Store Search

Go to AAD Home
Welcome!
Advertisement
Advertisement

Sweating over sweat gland carcinomas: Part 2 — Eccrine mucin-producing sweat gland carcinoma


DII small banner

By Warren R. Heymann, MD, FAAD
Aug. 20, 2025
Vol. 7, No. 33

Headshot for Dr. Warren R. Heymann
As I write this commentary, March Madness is underway. According to the NCAA, the odds of predicting all 63 NCAA tournament games correctly are approximately 1 in 9.2 quintillion (a quintillion is 10 to the 18th power). I would bet that the odds of a dermatologist clinically diagnosing an eccrine mucin-producing sweat gland carcinoma (EMPSGC) are better than that — but not by much. The goal of this commentary is to improve those odds and familiarize clinicians with EMPSGCs.

EMPSGCs are rare low-grade sweat gland carcinomas characterized by immunoexpression of neuroendocrine markers and mucin production. They occur most frequently in the head and neck region, with a strong predilection for the eyelids. (1) Greater than 250 cases have been reported, with a female predominance. Most patients are older than 60, although it has affected younger patients. Extra-eyelid lesions (cheek, temple, and scalp) and extra-facial lesions (chest and scrotum) may occur. (2)

EMPSCG was first reported by Fleider et al. in 1997 (3); as of 2018, the World Health Organization considers the tumor a low-grade neuroendocrine neoplasm, homologous to solid papillary/endocrine ductal carcinoma in situ of the breast. (2) The abstract from Fleider et al. follows:

We describe two cases [60-year-old and 75-year-old women] of a distinctive in situ and invasive cutaneous adnexal neoplasm occurring in the eyelid. Mucinous carcinoma represented the invasive portion of the tumor in one case, whereas the other infiltrated in small solid nests. The in situ component is identical to the recently described solid papillary carcinoma of the breast (endocrine ductal carcinoma in situ). Both tumors produced intra- and extracellular mucin, exhibited endocrine differentiation by immunohistochemistry and ultrastructural analysis, and were positive for estrogen and progesterone receptors.

Clinically, EMPSGCs are variable and nondescript. Lesions may present as slow-growing, skin-colored nodules that may be solitary or multiple, cystic or pigmented. The clinical differential diagnosis could include chalazion, hidradenoma, basal cell carcinoma, dermatofibroma, or other neoplasms.

Although most cases of EMPSGCs are indolent and classified as “low-grade”, exceptions exist. Fournier et al. reported an EMPSGC with lung metastases in a 72-year-old man. (4) Sun et al. described a 77-year-old man with an EMPSGC of long-standing duration on the right anterior chest that metastasized to the lymph nodes and skin after the lesion was excised two years earlier. (5)

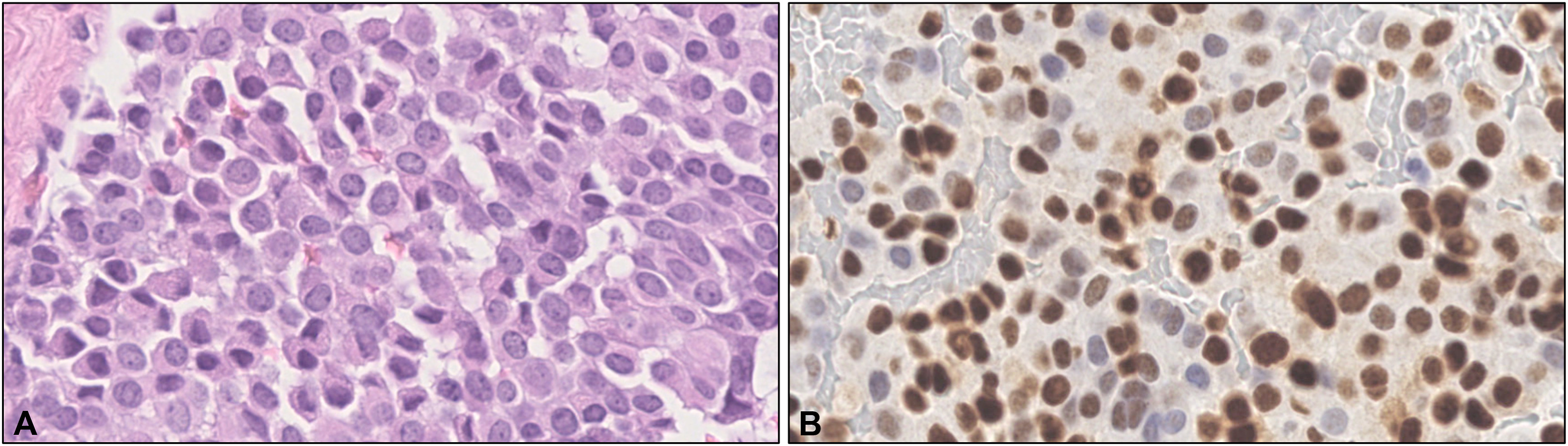
Murshed and Ben-Gashir accurately detail the histopathology of EMPSCGs: “Histologically, EMPSGC is a dermal tumor characterized by having multinodular growth pattern with solid and cystic areas. The solid areas may show cribriform growth pattern or pseudorosettes. The cystic spaces are sometimes filled with mucin. The tumor cells are columnar in shape with moderate amount of eosinophilic cytoplasm along with intracytoplasmic and extracellular mucin. The nuclei are ovoid with stippled chromatin and inconspicuous nucleoli. By immunoperoxidase stains, the tumor cells show reactivity for at least one neuroendocrine marker. Synaptophysin has been found to be more sensitive than chromogranin A. Most of the cases reported showed consistent reactivity for CK7, EMA, ER and PR, but were negative for CK20.” (1) Insulinoma-associated protein 1 (INSM1, a transcriptional repressor that plays a critical role in neuroendocrine differentiation), helps to distinguish EMPSCG from other mimickers by being more sensitive than other neuroendocrine markers (2,6). Wang et al. demonstrated that all 11 EMPSCGs stained positive for INSM1, and 16/18 other eyelid (and extra-eyelid) tumors (basal cell carcinomas, hidrocystomas, apocrine cystadenomas) were completely negative for INSM1. (7)

The image shows eccrine mucin-producing sweat gland carcinoma (EMPSCG) routine histology (A) and immunoperoxidase staining with INSM1 (B)
Image from reference 7. EMPSCG routine histology (A) and immunoperoxidase staining with INSM1 (B).

The pathogenesis of EMPSGCs is unknown. Nishimoto et al. reported a 71-year-old Japanese woman with a history of uterine cancer (unknown histologic type) who developed two isolated EMPSGC and one mucinous carcinoma of the skin (MCS) lesion on her face. [EMPSGC is considered a possible precursor of MCS]. She was simultaneously diagnosed with invasive ductal carcinoma of the breast. The presence of myoepithelial cells confining the in situ lesions suggested that the cutaneous neoplasms were primary tumors. The authors suggest that these tumors share the common feature of expressing female hormonal receptors that could be pathogenic in genetically predisposed patients. (8) Molecular studies such as next-generation sequencing have not disclosed mutations or fusions to date. (2) More research is warranted.

Although the vast majority of EMPSGCs are indolent, complete surgical excision is recommended, with careful clinical follow-up for local recurrence or rare metastases. (1)

I am impressed by friends who have impeccable knowledge of all the teams participating in March Madness. If they can discern the nuances of basketball teams from colleges I have never heard of, surely dermatologists can learn to differentiate sweat gland carcinomas.

Point to Remember: Eccrine mucin-producing sweat gland carcinomas are low-grade malignancies that rarely metastasize. They are characterized by mucin and neuroendocrine markers. Immunostaining for insulinoma-associated protein 1 helps to secure the diagnosis.

Our expert’s viewpoint

Thomas N. Helm, MD, FAAD
Professor, Department of Dermatology
Penn State College of Medicine

Because endocrine mucin-producing sweat gland carcinomas (EMPSGC) typically arise around the eyes, clinicians may hesitate to perform biopsies or may submit only small, partial specimens. This, combined with the limitations of imaging modalities like ultrasound — which can miss or misinterpret the lesion — can lead to diagnostic uncertainty. (9)

Whenever I encounter a periocular biopsy of a basaloid tumor in an adult female, I consider EMPSGC in the differential diagnosis and often order immunohistochemistry (IHC) if routine histologic features are even slightly ambiguous. Mucin-poor EMPSGC can closely resemble mucin-rich basal cell carcinoma (BCC), making differentiation challenging. However, EMPSGC typically expresses CK7, ER, PR, and EMA, while lacking CK20 expression. MYB positivity is observed in EMPSGC but not in BCC or primary mucinous carcinoma. (10,11) In addition, expression of neuroendocrine markers (including INSM1) and MUC2 positivity further supports a diagnosis of EMPSGC over BCC.

The relationship between EMPSGC, primary cutaneous mucinous carcinoma, and the newly proposed entity — sweat gland carcinoma with neuroendocrine differentiation (SCAND) — remains under investigation. SCAND is more frequently seen on the trunk or groin of elderly men, is associated with GATA3 mutations, and has been linked to a more aggressive clinical course. (12)

Clinicians should remain vigilant, as basaloid tumors with neuroendocrine differentiation can be easily overlooked or misclassified. When faced with an unusual or diagnostically ambiguous case, consultation with a dermatopathologist is strongly recommended. Mohs micrographic surgery, often in collaboration with oculoplastic specialists for reconstruction, when necessary, typically results in excellent outcomes.


References

  1. Murshed KA, Ben-Gashir M. A Case of Endocrine Mucin-Producing Sweat Gland Carcinoma: Is it Still an Under-Recognized Entity? Case Rep Dermatol. 2020 Nov 23;12(3):255-261. doi: 10.1159/000509516. PMID: 33362513; PMCID: PMC7747051.

  2. Cazzato G, Bellitti E, Trilli I, Colagrande A, Sgarro N, Scarcella VS, Lettini T, Ingravallo G, Piscitelli D, Resta L, Lospalluti L. Endocrine Mucin-Producing Sweat Gland Carcinoma: Case Presentation with a Comprehensive Review of the Literature. Dermatopathology (Basel). 2023 Sep 1;10(3):266-280. doi: 10.3390/dermatopathology10030035. PMID: 37754277; PMCID: PMC10529628.

  3. Flieder A, Koerner FC, Pilch BZ, Maluf HM. Endocrine mucin-producing sweat gland carcinoma: a cutaneous neoplasm analogous to solid papillary carcinoma of breast. Am J Surg Pathol. 1997 Dec;21(12):1501-6. doi: 10.1097/00000478-199712000-00014. PMID: 9414195.

  4. Fournier JE, Russell C, Hossain M. Metastatic Endocrine Mucin-Producing Sweat Gland Carcinoma to the Lung: A Case Report. Cureus. 2023 Nov 30;15(11):e49711. doi: 10.7759/cureus.49711. PMID: 38161810; PMCID: PMC10757463.

  5. Sun Y, Liu Y, Li C, Zhang X, Yin L, Niu J. Case report: Metastatic endocrine mucin-producing sweat gland carcinoma with features of mucinous carcinoma. Front Oncol. 2024 Nov 18;14:1449270. doi: 10.3389/fonc.2024.1449270. PMID: 39624633; PMCID: PMC11609175.

  6. Quattrochi B, Russell-Goldman E. Utility of Insulinoma-Associated Protein 1 (INSM1) and Mucin 2 (MUC2) Immunohistochemistry in the Distinction of Endocrine Mucin-Producing Sweat Gland Carcinoma From Morphologic Mimics. Am J Dermatopathol. 2022 Feb 1;44(2):92-97. doi: 10.1097/DAD.0000000000001990. PMID: 34086646.

  7. Kuan-Wen Wang S, Pan S, Panse G, McNiff J, Sinard J, Ko CJ. Insulinoma-associated protein 1: An important marker in eyelid tumors with adnexal features. J Am Acad Dermatol. 2025 Apr;92(4):940-941. doi: 10.1016/j.jaad.2024.10.121. Epub 2024 Dec 24. PMID: 39725215.

  8. Nishimoto A, Kuwahara H, Ohashi R, Ansai SI. Multicentric endocrine mucin-producing sweat gland carcinoma and mucinous carcinoma of the skin: A case report. J Cutan Pathol. 2021 Jan;48(1):165-170. doi: 10.1111/cup.13896. Epub 2020 Nov 8. PMID: 33047834.

  9. Kawamoto H, Fujii K, Aoki M, et al. Ultrasound findings of endocrine mucin-producing sweat gland carcinoma mimicking epidermal cysts: A case series and diagnostic challenges. J Dermatol. 2025 doi:10.1111/1346-8138.17694

  10. Qin H, Moore RF, Ho CY, Eshleman J, Eberhart CG, Cuda J. Endocrine mucin-producing sweat gland carcinoma: A study of 11 cases with molecular analysis. J Cutan Pathol.2018 doi:10.1111/cup.13308

  11. Held L, Ruetten A, Kutzner H, Palmedo G, John R, Mentzel T. Endocrine mucin-producing sweat gland carcinoma: Clinicopathologic, immunohistochemical, and molecular analysis of 11 cases with emphasis on MYB immunoexpression. J Cutan Pathol. 2018 doi:10.1111/cup.13290

  12. Goto K, Kiniwa Y, Kukita Y, et al. Recurrent GATA3 P409Afs*99 Frameshift Extension Mutations in Sweat-gland Carcinoma with Neuroendocrine Differentiation. Am J Surg Pathol. 2024;48(5):528-537. doi:10.1097/PAS.0000000000002195



All content found on Dermatology World Insights and Inquiries, including: text, images, video, audio, or other formats, were created for informational purposes only. The content represents the opinions of the authors and should not be interpreted as the official AAD position on any topic addressed. It is not intended to be a substitute for professional medical advice, diagnosis, or treatment.

DW Insights and Inquiries archive

Explore hundreds of Dermatology World Insights and Inquiries articles by clinical area, specific condition, or medical journal source.

Access archive

Advertisement

The American Academy of Dermatology is a non-profit professional organization and does not endorse companies or products. Advertising helps support our mission.

Opportunities

Advertising | Sponsorship

Advertisement
Advertisement
Advertisement