Go to AAD Home
Donate For Public and Patients Store Search

Go to AAD Home
Welcome!
Advertisement
Advertisement

Sweating over sweat gland carcinomas: Part 1 — Squamoid eccrine ductal carcinoma


DII small banner

By Warren R. Heymann, MD, FAAD
Aug. 13, 2025
Vol. 7, No. 32

Headshot for Dr. Warren R. Heymann
A highlight of my week is leisurely reading the Philadelphia Inquirer on quiet Sunday mornings, skimming over the troubling headlines, and concentrating on positive happenings in the Delaware Valley. My bliss was rudely interrupted by a medical mystery of a 42-year-old man with a “pea-sized spot” on the tip of his nose that did not resolve after 6 months of observation, assuming it would go away on its own. After spontaneous bleeding, he consulted a dermatologist who diagnosed rosacea and was prescribed a series of creams, none of which helped. A subsequent referral to an otolaryngologist (ENT) by his primary care physician diagnosed the lesion as a Staphylococcal infection, but none of the prescribed creams diminished the redness or a sensation of “numbness.” A CT scan of the head was obtained, revealing a chronic sinusitis. A second ENT physician prescribed other creams that were ineffective. Thirteen months after the lesion appeared, a biopsy was performed, revealing a squamoid eccrine ductal carcinoma (SEDC). The lesion was treated surgically by rhinectomy (not Mohs surgery) followed by multiple reconstructive surgeries using custom-made facial prostheses with tissue harvested from his thigh and cartilage from the ribs. (1)

This commentary focusing on SEDC is part 1 of 2 devoted to rare adnexal sweat gland carcinomas. Part 2 will discuss endocrine mucin-producing sweat gland carcinomas.

It is understandable why SEDC is frequently misdiagnosed — it is a rare variant within the realm of rare eccrine carcinomas, the latter comprising approximately 0.01% of all tumors. (2) To date, approximately 90 cases of SEDC have been reported. (3) The first PubMed citation of SEDC is by Wong et al. from 1997 (4); the following is the abstract from their manuscript:

We describe three cases of a distinctive cutaneous adnexal neoplasm showing features of eccrine ductal differentiation that were characterized by a prominent squamoid component. The tumours presented as solitary dermal nodules on the head and neck areas and the extremities in elderly patients. Histologically, they were characterized by a prominent squamous proliferation with atypia, keratinous cyst formation and squamous eddies which seemed to merge with areas showing eccrine ductal differentiation, including ductular formations in continuity with eccrine ductal epithelium. Clinical follow-up in one case showed multiple local recurrences over a period of 3 years despite complete surgical excision. Squamoid eccrine ductal carcinoma should be considered in the differential diagnosis of cutaneous adnexal neoplasms showing squamoid and ductal features of differentiation.

According to Chan et al., “Clinically, SEDC most commonly presents as an asymptomatic irregularly-shaped palpable papule or nodule on the head of an elderly man. There is variation in size, ranging from 0.16cm to 7.8cm at the time of diagnosis. Location ranges from scalp to toe, notably with 36% of cases occurring outside the head and neck area, including 20% on the limbs and 14% on the trunk. The median age at the time of diagnosis is 77 years (range 10-96) and 56.25% of patients are men… There are no established risk factors, although rare cases in the setting of immunosuppression related to organ transplantation or leukemia have been reported.” (5) In their series of 5 cases of SEDC, Honorato et al. reported that 3 were kidney transplant recipients on immunosuppressive drugs. (6) Bellisario et al. reported a case of SEDC in a 34-year-old pregnant woman. (7) SEDCs have a mortality rate of at least 5%, a metastasis rate of 16%, and a recurrence rate of 18%. (5)

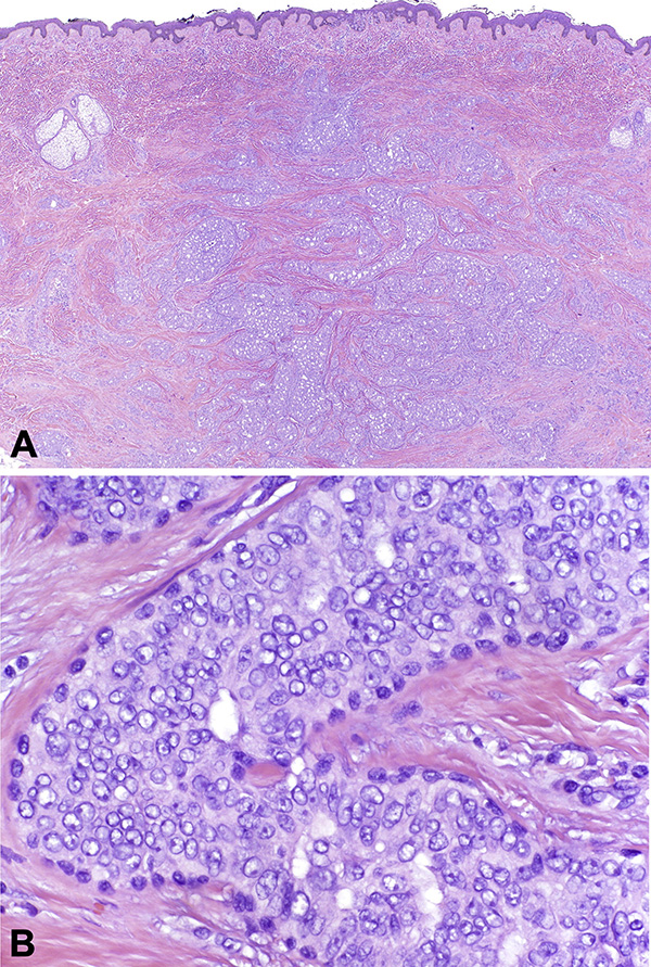
Histological images for DWII of squamoid eccrine ductal carcinoma
Image of primary cutaneous eccrine carcinoma is from JAAD 2013; 69 (6): E310-12.
Histologically, SEDCs display a biphasic appearance reminiscent of squamous cell carcinoma (SCC) in the superficial component and deeper ductal eccrine differentiation. Perineural and angiolymphatic invasion help explain the potentially aggressive nature of SEDC. (6) Immunoperoxidase stains for CEA and EMA highlight ductal differentiation in SEDC. Clinical-pathologic correlation will differentiate SEDC from a microcystic adnexal carcinoma (peri-oral and peri-ocular location), porocarcinoma (acrally distributed, usually associated with a poroma), eccrine syringoid carcinoma (deep involvement without squamoid differentiation), and cutaneous metastasis. (5,7)

There is an ongoing controversy regarding the derivation of SEDCs — are they sweat gland carcinomas or squamous cell carcinomas? Harms et al. describe clinicopathologic features of a cohort of 15 SEDCs from 14 unique patients, with next-generation sequencing DNA profiling for 12 cases. UV signature mutations were the dominant signature in a majority of cases. TP53 mutations were the most highly recurrent specific gene alteration, followed by mutations in NOTCH genes. A comparison of global transcriptome profiles in SEDC (n = 7) to SCC (n = 10), porocarcinoma (n = 4), and microcystic adnexal carcinoma (n = 4), SEDCs displayed an intermediate phenotype between SCC and sweat gland tumors. (8)

Determining best practices for managing and treating SEDC is a work in progress because of the rarity of the malignancy. Imaging (CT, MRI, or PET scans) and/or sentinel node biopsies may be appropriate, especially for those cases demonstrating histologic perineural invasion and/or neurovascular invasion. (5) Surgical excision is paramount. In their review, Lim and McDonald conclude that Mohs micrographic surgery may have superior outcomes to wide local excision. The role of radiation needs to be defined for SEDCs. (9) To date, there are no reports of chemotherapy or targeted immunotherapy for SEDCs.

All dermatologists see patients with non-descript “pimples” of recent onset, and it may be appropriate to treat such lesions initially with topical agents to see if they resolve. I am suspicious of solitary lesions. Although I would never expect any dermatologist (myself included) to consider a diagnosis of SEDC, the keratinocyte carcinoma differential (basal cell carcinoma, SCC) should be front and center. If there is no resolution of the lesion, a biopsy should be performed, especially if there is a history of spontaneous bleeding. Superficial biopsies may result in a misdiagnosis of a SCC. Twenty years ago, Fernandez et al. reported that dermatologists are performing fewer punch biopsies and shave biopsies, which have decreased in size. In my opinion, these trends have continued. As a clinician, I understand why — patients are reluctant to have a scar (especially on their face). As a dermatopathologist, a tiny sample can only get you so far. By being too shy with our biopsies, we are not doing our patients a favor.

Point to Remember: Squamoid eccrine ductal carcinomas may be highly aggressive malignancies characteristically observed on the head and neck of older men. Biopsies must be deep enough to ensure that these lesions are not diagnosed as squamous cell carcinomas.

Our expert’s viewpoint

Thomas N. Helm, MD, FAAD
Professor, Department of Dermatology
Penn State College of Medicine

I agree with Dr. Heymann that a persistent, non-healing solitary facial lesion should prompt biopsy in most instances. Although superficial tangential biopsies may be insufficient for definitive diagnosis of rare variants of NMSC, they often raise suspicion for carcinoma and help guide appropriate subsequent management decisions.

SEDC can be considered a variant of microcystic adnexal carcinoma with squamous features superficially and ductal differentiation in deeper, infiltrative areas. (11) Inadequate sampling often leads to misdiagnosis as squamous cell carcinoma. Immunohistochemical markers (CK7, CEA, and EMA) are helpful but only if ductal structures within desmoplastic stroma are identified on a deep enough biopsy. Diagnosis requires high suspicion. Lack of treatment response should lead to biopsy rather than empirical therapy or imaging.

SEDC is linked to sun damage and just as NMSCs are increasingly seen in younger populations (12), SEDC is also likely to become more common. Affluence and damage from intermittent sun exposure are contributing factors impacting the incidence of NMSC. (13) Although younger patients may fear biopsy scarring, delayed diagnosis carries greater risk.

Long waits for an appointment with a dermatologist (14,15), biopsy delays, inadequate samples, and unfamiliarity with rare NMSC variants can all contribute to poor outcomes.


References

  1. Boodman SG. Medical Mysteries. A tiny spot on his nose radically changed his life. Washington Post, January 31, 2025 (published and accessed on the Philadelphia Inquirer website - https://www.inquirer.com/health/medical-mystery-numb-spot-nose-reconstructive-surgery-20250131.html.

  2. Srivastava P, Dando E, Doeden K. Squamoid eccrine ductal carcinoma: A frequently misdiagnosed entity. Indian J Dermatol Venereol Leprol. 2023 Jun 21:1-3. doi: 10.25259/IJDVL_310_2022. Epub ahead of print. PMID: 37436011.

  3. Harms PW, Runge M, Chan MP, Liu CJ, Qin Z, Worden F, Robinson DR, Chinnaiyan AM, Mclean SA, Harms KL, Fullen DR, Patel RM, Andea AA, Udager AM. Squamoid Eccrine Ductal Carcinoma Displays Ultraviolet Mutations and Intermediate Gene Expression Relative to Squamous Cell Carcinoma, Microcystic Adnexal Carcinoma, and Porocarcinoma. Mod Pathol. 2024 Nov;37(11):100592. doi: 10.1016/j.modpat.2024.100592. Epub 2024 Aug 21. PMID: 39154783; PMCID: PMC11585436.

  4. Wong TY, Suster S, Mihm MC. Squamoid eccrine ductal carcinoma. Histopathology. 1997 Mar;30(3):288-93. doi: 10.1046/j.1365-2559.1997.d01-593.x. PMID: 9088963.

  5. Chan CX, Sriharan A, LeBlanc RE, Guill MA, Glass JS, Momtahen S. Squamoid eccrine ductal carcinoma: clinical, histological and immunohistochemical features. Dermatol Online J. 2024 Apr 15;30(2). doi: 10.5070/D330263577. PMID: 38959917.

  6. Honorato CMA, Carrascoza GG, Abed NM, Moya FG. Squamoid eccrine ductal carcinoma: series of five cases of a rare tumor. An Bras Dermatol. 2024 Nov-Dec;99(6):936-939. doi: 10.1016/j.abd.2023.10.006. Epub 2024 Aug 5. PMID: 39107197; PMCID: PMC11551258.

  7. Bellisario JA, Lunardhi A, Huynh K, Iguh C, Stohl H. Squamoid Eccrine Ductal Carcinoma: An Unusual Diagnosis in a Pregnant Patient. Cureus. 2024 Oct 22;16(10):e72123. doi: 10.7759/cureus.72123. PMID: 39575036; PMCID: PMC11580729.

  8. Harms PW, Runge M, Chan MP, Liu CJ, Qin Z, Worden F, Robinson DR, Chinnaiyan AM, Mclean SA, Harms KL, Fullen DR, Patel RM, Andea AA, Udager AM. Squamoid Eccrine Ductal Carcinoma Displays Ultraviolet Mutations and Intermediate Gene Expression Relative to Squamous Cell Carcinoma, Microcystic Adnexal Carcinoma, and Porocarcinoma. Mod Pathol. 2024 Nov;37(11):100592. doi: 10.1016/j.modpat.2024.100592. Epub 2024 Aug 21. PMID: 39154783; PMCID: PMC11585436.

  9. Lim MM, Macdonald JA. Squamoid Eccrine Ductal Carcinoma: Treatment and Outcomes. Am J Dermatopathol. 2022 Apr 1;44(4):249-253. doi: 10.1097/DAD.0000000000002072. PMID: 35287138.

  10. Fernandez EM, Helm T, Ioffreda M, Helm KF. The vanishing biopsy: the trend toward smaller specimens. Cutis. 2005 Nov;76(5):335-9. PMID: 16422470.

  11. Kavand S, Cassarino DS. "Squamoid eccrine ductal carcinoma": an unusual low-grade case with follicular differentiation. Are these tumors squamoid variants of microcystic adnexal carcinoma? Am J Dermatopathol. 2009 Dec;31(8):849-52. doi: 10.1097/DAD.0b013e3181adc952. PMID: 19786851.

  12. Ibrahim N, Ali SR, Dobbs TD, Gibson JAG, Hutchings HA, Whitaker IS. The incidence of non-melanoma skin cancer in the UK and the Republic of Ireland: a systematic review. Eur J Dermatol. 2023 Jun 1;33(3):218-229. doi: 10.1684/ejd.2023.4496. PMID: 37594326.

  13. Deady S, Sharp L, Comber H. Increasing skin cancer incidence in young, affluent, urban populations: a challenge for prevention. Br J Dermatol. 2014 Aug;171(2):324-31. doi: 10.1111/bjd.12988. Epub 2014 Aug 2. PMID: 24666396.

  14. Zheng DX, Cwalina TB, Friedl SL, Jella TK, Bullock TA, Xiang L, Levoska MA. Outpatient dermatology appointment wait times for United States military veterans, 2014-2021. Arch Dermatol Res. 2025 Jan 6;317(1):173. doi: 10.1007/s00403-024-03678-7. PMID: 39760775.

  15. Basch CH, Hillyer GC, Gold B, Basch CE. Wait times for scheduling appointments with hospital affiliated dermatologists in New York City. Arch Dermatol Res. 2024 Aug 17;316(8):530. doi: 10.1007/s00403-024-03249-w. PMID: 39153084; PMCID: PMC11330380.



All content found on Dermatology World Insights and Inquiries, including: text, images, video, audio, or other formats, were created for informational purposes only. The content represents the opinions of the authors and should not be interpreted as the official AAD position on any topic addressed. It is not intended to be a substitute for professional medical advice, diagnosis, or treatment.

DW Insights and Inquiries archive

Explore hundreds of Dermatology World Insights and Inquiries articles by clinical area, specific condition, or medical journal source.

Access archive

Advertisement

The American Academy of Dermatology is a non-profit professional organization and does not endorse companies or products. Advertising helps support our mission.

Opportunities

Advertising | Sponsorship

Advertisement
Advertisement
Advertisement